氟斑牙治疗价格?西安拜尔口腔医院专家介绍氟斑牙是一种由于水质导致的牙齿颜色问题,是典型的地方病,最常见于含氟教高的地区。氟主要损害釉质发育期牙胚的造釉细胞,因此,过多的氟只有在牙齿发育矿化期进入机体,才能发生氟牙症。
治疗氟斑牙通常需要采取先进的口腔治疗方法,不同程度的氟斑牙治疗方法不同,因此产生的费用也不同,今天我们就来看看氟斑牙治疗价格。
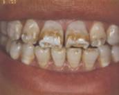
氟斑牙治疗价格?西安拜尔口腔医院的牙齿美白专家说,氟斑牙是在同一时期萌出的釉质上有白垩色到褐色的斑块,严重者还并发有釉质的实质缺损。临床上常按其轻、中、重度而分为白垩型(轻度)、着色型(中度)和缺损型(重度)三种类型。
1、严重的慢性氟中毒患者,可有骨骼的增殖性变化,骨膜、韧带等均可钙化,并从而产生腰、腿和全身关节症状。急性中毒症状为恶心、呕吐、腹泻等。由于血钙与氟结合,形成不溶性的氟化钙,引起肌痉挛、虚脱和呼吸困难,以致死亡。
2、对摩擦的耐受性差,但对酸蚀的抵抗力强。
3、氟牙症一般均见于恒牙,但如氟摄入量过多,超过其筛除功能的限度时,也能不规则地表现在乳牙上。
4、此外,氟斑牙的危害还涉及到影响一个人在外在形象,谁都不想自己笑起来时会露出一口黄牙。如果长此以往,可能还会对患者本人心理造成巨大挫伤。
温馨提示:西安拜尔口腔医院根据顾客口腔及经济状况的不同提供了低、中、高档多层次价格区间,满足不同人群所需,既有适合低消费人群要求的价格区间,也满足高消费群体要求的价格区间。西安拜尔口腔医院所进材料均为国外进口,区别于普通材料最大的优势就是材料好,修补后牙色好,能最大程度恢复牙体形态。如果您还有什么不明白的可以咨询我们的在线客服以及我们的咨询电话【029-84356883】。








