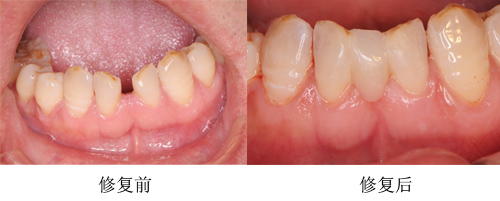
全瓷牙与美容冠有什么区别?现在很多医院都有牙齿美容项目,美容冠也是一项牙齿美容项目,很多爱美者把美容冠与全瓷牙混为一谈,其实全瓷牙并不是美容冠,两者是有所区别的,下面我们一起来了解一下。
西安拜尔口腔医院专家介绍:全瓷牙,又称全瓷冠,是覆盖全部牙冠表面,且不含金属内冠的瓷修复体。由于内冠不再使用金属,而采用与牙齿颜色相近的高强度瓷材料制成,因此较金属基底烤瓷修复体更美观,半透明度与天然牙近似,修复后牙龈边缘表现更加自然,可达到仿真效果,且具有对周边组织无刺激等优点,已被广泛用于临床,尤其在前牙美学修复时常被选用。
美容冠牙齿美容技术在流行于欧美、日韩,是一种新兴牙齿美容技术,对错位牙、畸形牙的临床冠部分施以专业手段,最后用美容冠加以修复。具有美牙不拔牙,无痛苦,时间短,牙齿坚固,多年后牙龈不会出现黑线等优点,从而达到终生有保障的美牙效果。美容冠包括烤瓷牙、全瓷牙,针对成人,对龅牙、排列歪斜牙、畸形牙以及色素牙,可彻底、快速矫正修复,无需拔牙,全程无痛。生物相容性好,牙龈不会出现黑线,大约5天,还你洁白整齐牙齿,终生美齿。全瓷牙是美容冠的一种,美容冠是一个笼统的概念,全瓷牙是个具体名称。
西安拜尔仿生美容冠——定制属于您的完美笑容
仿生美容冠是牙齿的一个“帽子”,用来做为镶牙所需的材料之一。美容冠结构天然,与口腔环境高度相容,采用的是环保材质,塑造具有优良咀嚼机械性能的牙齿。是欧美数十万患者,一致认同的专业修复手段。由于其实用性、美观性、健康环保的诸多优点。
每颗仿生牙冠由最外层的仿生瓷、中间的纳米瓷粉、内部的生物瓷经过高温融合,与真牙的牙釉质、牙本质完全相同,具有与真牙一致的感觉。
生物瓷是仿生冠的主要材料,生物瓷的物理稳定性是黄金的27倍,硬度是黄金的十几倍,不会受到酸碱性不同的食物、液体的侵蚀,没有任何的放射性,使牙髓、牙神经得到有效保护,最大限度杜绝牙疾病发生。
仿生冠突破了传统烤瓷牙的限制,避免了经过安检时带来的尴尬,避免了牙髓过敏性的刺激;完全生物瓷制作,不受生活中各种电磁波干扰。龅牙、虎牙、老鼠牙、地包天、前牙拥挤、前牙稀疏、牙列不齐、牙齿缺损、失败、错过矫正黄金期的成年人及重度四环素牙等都适合使用仿生美容冠美齿技术。
【适应症】
失败烤瓷牙修复、四环素牙、氟斑牙等色素牙、小牙、牙缝过大、牙齿缺损、牙列不齐等。
【技术优势】
1、CT扫描:CT全景扫描牙齿排列状况,避免医生经验主义错误。
2、光学取模:硅橡胶取模表面光滑清洗,1:1精准比例。
3、个性定制:脸型、唇型、肤色,数字化综合制定美学美牙方案。
4、高效比色:纯自然光下德国VITA比色,29种色阶高效对照。
5、智能齿雕:临时牙冠顶尖自凝医学材料,3D雕制护齿。
6、最佳适度:初诊中,适应、观察、调试,达到最佳效果。
7、高度精准:德国进口精密仪器360度立体呈现。
8、色泽逼真:天然逼真牙,齿间效果自然绽放。
西安拜尔口腔医院是您牙齿的梦想加工厂,资深的专家团队是您的信心来源,一流的技术实力是您的安全保障,为您的美丽而战!如果您还有任何的疑问可以咨询在线医生或者拨打矫正热线029-84356883。把握自己的美丽,从"齿"开始,西安拜尔口腔医院将帮您全力打造完美笑容。我们将为您提供最优质的服务、最好的专家和最前沿的技术。








