张小梅医生是我们医院的儿童牙科医生,多年来因其大方开朗、亲和力强、富有爱心的形象和个性,深受家长和孩子们的喜欢。昨天一等她忙完,我就赶紧过去,向其咨询儿童的口腔状况。张医生说很多家长认为孩子的乳牙迟早要换,所以对乳牙的健康不太重视。现在的孩子生活质量提高,甜食也是源源不断,因此龋齿率非常高。刚才治疗的小患者就是很典型的一个例子。
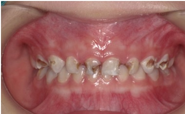
治疗前
由于龋齿太多且严重,孩子有时还会牙疼,所以家长才带来看医生。孩子才4岁,因此张医生给出的治疗方案是龋齿严重的大牙做预成冠,其他牙齿龋齿严重不能补的进行美学修复,这样保证乳牙能使用至换牙。半个多月时间,小朋友终于摆脱了一口的虫牙,暂时不用担心牙疼了。
治疗后
张医生说小孩的口腔问题多是因为不合理的生活习惯造成的,所以每次治疗后都会叮嘱家长和孩子,尽量控制孩子的饮食和改善不良生活习惯。孩子喜欢吃糖、吃甜食,而且很多睡觉前吃东西,吃完有的睡了(而且)不刷牙或是刷牙马虎。这些都严重影响了孩子的口腔健康,一定要培养孩子合理的生活习惯,早晚认真刷牙,饭后漱口,控制甜食的量和食用时间。








