姓名:葛女士 性别:女 年龄:27岁
职业:公司白领 主治医生:杨硕 诊疗项目:瓷贴面修复
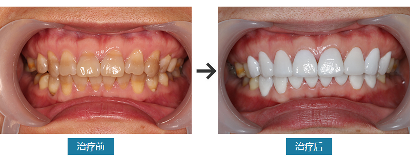
上下前牙色泽暗黄,要求修复。前牙区牙色泽发暗发黄,颈部颜色较深,严重影响美观。曾经有服用四环素类药物史,未经处置,要求修复上下前牙。
11,12,13,14,21,22,23,24,31,32,33,34,41,42,43,44中度四环素牙,牙釉质无缺损,无龋坏,无冷热刺激痛,牙周健康,无松动。全景片显示,上下前牙根尖周未见异常,牙槽骨未见明显吸收
11,12,13,14,21,22,23,24,31,32,33,34,41,42,43,44全瓷贴面修复。
葛女士是西安一公司的白领。年轻爱美,喜欢旅游,喜欢拍照。但是每次拍照都是笑不露齿,别人问时,她都会说自己走的是“傲娇路线”。只有她的好朋友知道其中真正的原因。一天,她朋友做龋齿治疗后,向她推荐了西安拜尔口腔。她想她朋友那么挑剔都对拜尔赞赏有加,她就毫不犹豫过来咨询。经过咨询师详细讲解、与医生的沟通和对之前案例的浏览,她都觉得拜尔是一家非常专业的牙齿美学修复机构。当即就让医生检查,设计方案。葛女士选择了瓷贴面修复上下4-4,10天后就完成了整个过程。葛女士对焕然一新的牙齿特别满意,当即就开始自拍,同行的朋友也赞不绝口。葛女士回去后说,工作起来也更自信了,年底领导还说要提拔她,薪资也有大的改观。自信微笑,是一切美好的开始。





