姓名 :张女士 性别:女 年龄:31岁
职业:教师 主治医生:闫红芳 诊疗项目:冷光美白
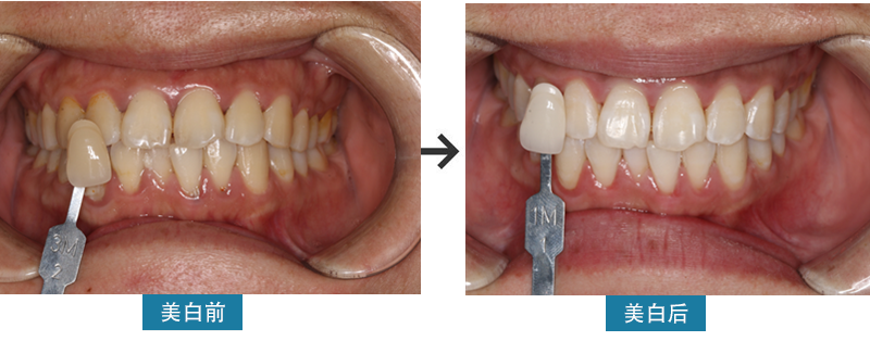
牙齿发黄,影响美观,要求美白

牙齿发黄一直是张女士的心病。年轻爱美的张女士觉得牙齿黄,让她涂什么颜色的口红都很纠结。很多口红都标榜显牙白,其实效果微乎其微,牙齿发黄才是真正要解决的问题。张女士看到团购冷光美白的信息,就打电话了解冷光美白的原理和效果。冷光美白的原理在于通过冷光将药物渗透到牙齿组织中去,从而达到美白的效果。属于化学漂白的一种。外源性色素粘染,内源性色素沉着等比较适合使用冷光美白。好的医生可以保护牙齿不受伤害,且效果达到最佳。效果跟牙釉质发育状况有关,跟医生也有关系。所以,一定要找个靠谱的好医生。
张女士预约后,按照约定时间到院进行洁牙、冷光美白。做完后,自己非常满意,连连致谢。说这下过年回家,就可以美美的了。
先洁牙,然后拍照、比色、涂保护剂,进行美白。





