真实案例

拜尔首页 > 真实案例 >牙齿缺失,半年内长新牙

牙齿缺失,半年内长新牙

作者:西安拜尔口腔    发布时间:2018-03-23    浏览次数:44

姓名 :张女士                           性别:女                  年龄:57

职业:退休干部                                主治医生:王剑      诊疗项目:种植牙修复

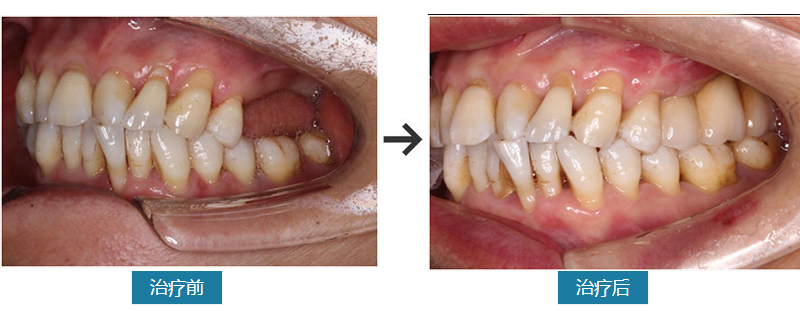
牙齿缺失,要求修复


 

 

25、26、27行种植修复

植体品牌:德国AB    冠修复:二氧化锆全瓷冠


 


推荐专家

免费电话:
029-84356883
时间:
8:30—19:00
  • 官方微信

    官方微博