姓名 :赵先生 性别:男 年龄:38岁
职业:职工 主治医生:眭永潮 诊疗项目:种植牙+全瓷冠
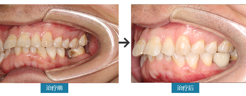
左下方一颗牙齿缺失多年,拔出残根后要求种植

36缺失,轻度牙龈炎。建议种植修复。患者选择奥齿泰植体,全瓷冠修复。
赵先生左下方的牙齿坏了多年,牙冠已经没了,只剩下残根。吃东西会食物嵌塞,很不方便。时间久了,缺失的位置好像空隙变小了。于是就趁洗牙的机会来向医生咨询,医生检查后发现,两边的牙齿已经向中间缺牙位置倒,所以缺牙位置空间变小了。所以,牙齿缺失后应该尽快修复,不能拖,不然会影响临牙的健康,对合牙也会伸长。
赵先生就拔出了残根,想要修复。因为传统假牙,还要磨损临牙,赵先生就选择了种植牙,说也要为以后的幸福生活着想。眭医生做的种植牙,位置角度很好,赵先生术后也恢复的好,三个月戴牙。戴牙后,说很舒服,没有异物感,就好像种植牙本来就是自己口内的一部分。





