真实案例

拜尔首页 > 真实案例 >人到中年缺牙多,种植牙让生活焕然一新

人到中年缺牙多,种植牙让生活焕然一新

作者:西安拜尔口腔    发布时间:2018-01-24    浏览次数:62

姓名 :李女士                              性别:女                    年龄:48

职业:私营业主                           主治医生:眭永潮         诊疗项目:种植牙+烤瓷牙修复

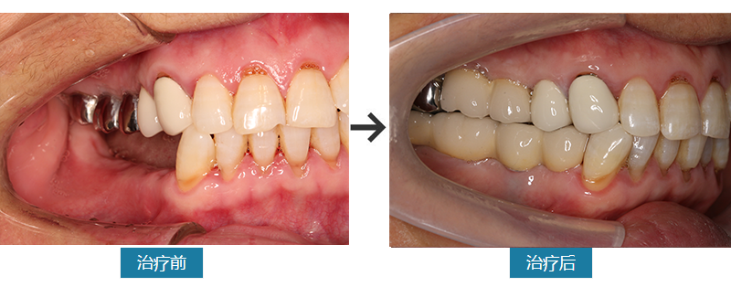
松动严重,要求拔除;同时口内多颗牙齿缺失,要求修复。


 

 

 

44、45、47残根,松动III度,无保留价值,建议拔除。

15、16、36、37、44、45、46缺失,建议采用种植牙。

患者遂选择奥齿泰种植体和烤瓷牙修复

 

 

推荐专家

免费电话:
029-84356883
时间:
8:30—19:00
  • 官方微信

    官方微博