姓名 :金女士 性别:女 年龄:27岁
职业:白领 主治医生:杨硕 诊疗项目:瓷贴面修复
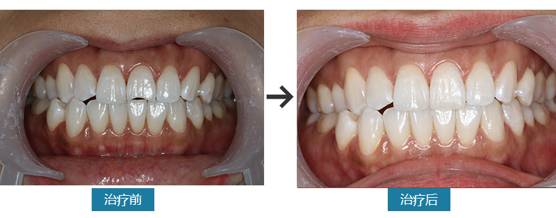
门牙外伤切端缺损,希望修复

超薄微型全瓷贴面修复
李女士前几天躺在床上玩手机,结果失手了,手机砸到了牙齿,牙齿切端磕落一块,很影响美观。经朋友介绍,来到西安拜尔口腔找到了修复专家杨硕院长。杨院长检查后,给出瓷贴面修复的建议。打消了患者之前了解的全瓷冠的想法,因为跟全瓷冠相比,瓷贴面可以做到少磨牙或是不磨牙,将伤害降到了最低。而李女士这种情况,没有伤到牙髓,缺失的相对少,所以瓷贴面是最好的选择。
李女士同意方案,于是展开修复。第一次先备牙、取模,制作临时冠。一周后去临时冠,粘接永久冠,修复完成。李女士直呼瓷贴面好神奇,感觉就像是牙医变了个魔术,并且不留痕迹。





