姓名:朱先生 性别:男 年龄:55岁
职业:公司职员 主治医生:倪医生 诊疗项目:瓷贴面修复
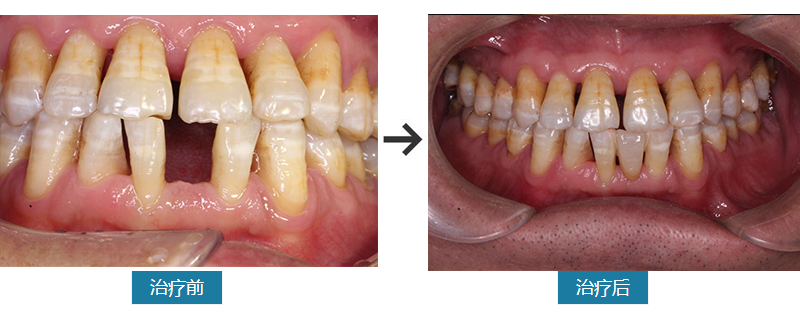
牙齿缺失
下前牙缺失,位置不足,不适合种植修复,可做瓷贴面舌侧粘接修复。
朱先生之前在拜尔口腔晋城分院做过洁牙,用朱先生的话说就是,从那以后就对我们产生了很多好感,认可我们的服务和技术。之后的几个月,朱先生越来越不能容忍自己下前牙缺失留下的缝隙,觉得很影响美观。于是在倪医生到晋城巡诊时,朱先生闻讯过去,让倪医生做了检查和治疗方案。前牙缺失时间久后,位置不足,所以不适合做种植。普通假牙也须捆绑临牙,会对原本就牙龈萎缩严重的临牙造成很大负担,所以活动假牙修复欠妥。前牙更多是美学角度的考量,遂决定用瓷贴面进行舌侧粘接修复,既美观又不伤害临牙,还牢固。修复后,朱先生表示一定遵医嘱咐,不咬过硬的食物,这么好的修复结果,他会好好保护,不能浪费。





