姓名:聂大爷 性别:男 年龄:73岁
职业:退伍军人 主治医生:杨硕 诊疗项目:根管+全瓷冠修复
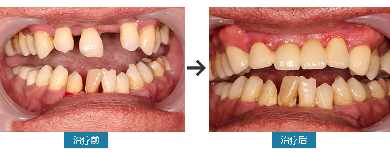
左上前牙缺失,要求修复
13慢性牙髓炎,远中邻面深龋穿髓,质软,黑褐色,探(-)叩(-)温(-)
21牙体缺失,伤口愈合良好,11松动一度。
治疗:13局麻下开髓,扩挫冲洗,牙胶尖根管糊剂充填,暂封。一周后带冠。行根管糊剂牙胶尖充填后行纤维桩修复,11,12,13,21,22,23牙体预备,印模制取,临时冠临时修复,一周后带冠。





