真实案例

拜尔首页 > 真实案例 >前牙牙缝太宽,影响美观,现来就诊

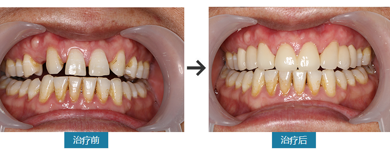
前牙牙缝太宽,影响美观,现来就诊

作者:西安拜尔口腔    发布时间:2017-08-09    浏览次数:61

姓名:邹先生                   性别:男                     年龄:57岁

职业:退休职工               主治医生:杨硕    诊疗项目:美容冠修复

      前牙牙缝太宽,影响美观,现来就诊

美容冠修复 


     上前牙牙齿均有明显牙缝,余无不适;13、23先天缺失;11、12、13、21、22、23、24常规预备,取模,临时牙修复,调合,抛光。两周后,去除临时牙后,去除多余材料,温水擦干,消毒,试戴,完好,光固化粘接材料粘接,去除多余材料,光照固化。

 

推荐专家

免费电话:
029-84356883
时间:
8:30—19:00
  • 官方微信

    官方微博