真实案例

拜尔首页 > 真实案例 >全口氟斑牙修复--瓷贴面

全口氟斑牙修复--瓷贴面

作者:西安拜尔口腔    发布时间:2017-09-27    浏览次数:28

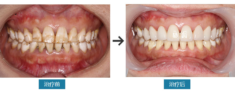
       姓名:章同学                   性别:男                 年龄:30

       职业:中学生                主治医生:杨硕     诊疗项目:瓷贴面

      全口牙齿重度氟斑牙,影响美观,现来就诊,要求修复

 


       

      瓷贴面修复

推荐专家

免费电话:
029-84356883
时间:
8:30—19:00
  • 官方微信

    官方微博