真实案例

拜尔首页 > 真实案例 >去除牙齿贴面

去除牙齿贴面

作者:西安拜尔口腔    发布时间:2017-09-28    浏览次数:23

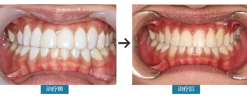
姓名:吴小姐                   性别:女                     年龄:23岁

职业:学生                      主治医生:刘蒙             诊疗项目:磨除上下颌4-4唇侧充填物

     要求去除贴面

 


     半年前在美容院做“3D炫彩浮雕”牙后长期塞牙,半月前下前牙贴面脱落,今来院要求去除所有贴面。

上下颌4-4唇面见白色充填物,切缘暴露,41充填物大部分脱落,31近远中邻面均部分脱落。磨除上下颌4-4唇侧充填物,抛光。全口超声波洁牙,抛光。




 

推荐专家

免费电话:
029-84356883
时间:
8:30—19:00
  • 官方微信

    官方微博