真实案例

拜尔首页 > 真实案例 >瓷贴面修复,让牙齿“洗心革面”

瓷贴面修复,让牙齿“洗心革面”

作者:西安拜尔口腔    发布时间:2017-11-25    浏览次数:25

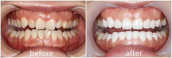
姓名 :张女士                            性别: 女                 年龄:34

职业:  家庭主妇                       主治医生:杨硕         诊疗项目:全瓷冠 修复

      牙齿发黄,影响美观,要求做全瓷冠 

     牙列不齐,63乳牙滞留。全瓷冠修复。

     处理:设计修复方案,患者同意。备牙二次取模。制作临时冠,抛光粘接。一周后,去临时冠,粘永久冠。



 

 

推荐专家

免费电话:
029-84356883
时间:
8:30—19:00
  • 官方微信

    官方微博