真实案例

拜尔首页 > 真实案例 >继发龋坏严重,根管治疗后全瓷冠修复

继发龋坏严重,根管治疗后全瓷冠修复

作者:西安拜尔口腔    发布时间:2018-02-07    浏览次数:35

姓名 :白女士                              性别:女                  年龄:48

职业:白领                                  主治医生:杨硕      诊疗项目:全瓷冠修复

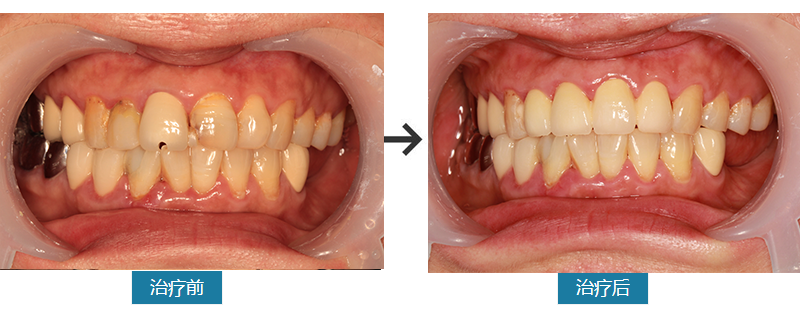
门牙之前做的冠,现在疼,外观也不好看了,要求修复


 

 

11、12、21、22摘冠,11、12、21做根管治疗后上药,11、12、21、22取模,做临时冠。7-10天后,去临时冠,做永久全瓷连冠。


 

推荐专家

免费电话:
029-84356883
时间:
8:30—19:00
  • 官方微信

    官方微博