真实案例

拜尔首页 > 真实案例 >洁牙案例4-2

洁牙案例4-2

作者:西安拜尔口腔    发布时间:2018-04-28    浏览次数:35

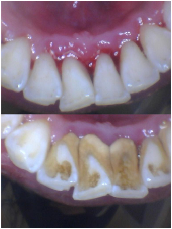
姓名 :姬先生                             性别:男                  年龄:29

职业:职工                                  主治医生:司丽珠          诊疗项目:洁牙

自觉口腔有异味,要求洁牙


 

 

龈上洁治术


 

推荐专家

免费电话:
029-84356883
时间:
8:30—19:00
  • 官方微信

    官方微博