电话
24小时服务中心:
029-84356883
门店分布
西安拜尔口腔—专业的口腔医院_牙科医院_牙齿正畸、种植牙、牙齿美容、儿童牙科医院门店分布
拜尔口腔莲湖店
地址
:西安市莲湖区大寨路19号晶鑫商业广场A座7层
电话
:029-84356883
点击查看>>
拜尔口腔雁塔店
地址
:西安市雁塔区世家星城三期百姓厨房对面
电话
:029-84356883
点击查看>>
拜尔口腔晋城分院
地址
:晋城市城区晋城大酒店B座一层
电话
:0356-8888688
点击查看>>
拜尔口腔高平店
地址
:高平市新北小区5号楼10号商铺
电话
:0356-5289333
点击查看>>
语言
English
한국어
关注我们
xianbaierkouqiang
weibo.com/baierkouqiang
网站首页
医生团队
拜尔公益
在线预约
来院路线
口腔种植
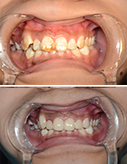
牙齿正畸
美容修复
牙周治疗
儿童齿科
综合齿科
真实案例
拜尔首页
> 真实案例
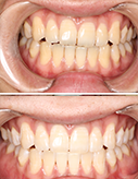
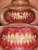
意外造成牙齿缺损,根管治疗&全瓷冠修复
快速美白,就是beyond冷光美白
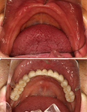
半口种植--宛如新生
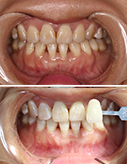
冷光美白---牙齿变白“平价神器”
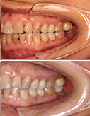
后牙缺失一年,种牙修复好处多
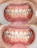
瓷贴面修复,简直像换了个人
冷光美白,让牙齿白几度
即做即走,1小时美白
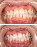
流体树脂修复案例
冷光美白后,感觉自己都年轻了
首页
1
2
3
4
5
6
7
8
9
10
末页
10
页
95
条
推荐专家
眭永潮
口腔种植
在线咨询
立即预约
白晓茸
牙齿正畸
在线咨询
立即预约
雷晓鹏
综合齿科
在线咨询
立即预约
闫红芳
美容修复
在线咨询
立即预约
贾阳阳
综合齿科
在线咨询
立即预约
查看详细地址 >
免费电话:
029-84356883
时间:
8:30—19:00
官方微信
官方微博