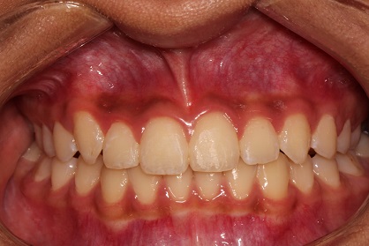
第一次见小梦,是在去年年初。刚过完年假上班,小梦被爸爸妈妈拉着,一脸不情愿的出现在我们大厅。我负责接待他们一家三口,小梦父母跟我描述他们的诉求,小梦一直没有说话。作为咨询师,我首先要做的就是跟小梦沟通,打开她的心结。聊了一会后,发现小梦是个挺开朗爱笑的女孩,在她放松微笑的时候清晰地看到她的龅牙倔强地外露。经过沟通,小梦同意进行矫正,却一再强调只是好奇想看看是否结果有我们说的那么神奇。真是12岁的孩子,我们都被她的孩子气逗乐了。但是,我知道我们的医护人员不会让她失望。
小梦不愿意拔牙,我们就采用了别的正畸方案。最后,选用使用3-3陶瓷自锁托槽。
矫正前图片:
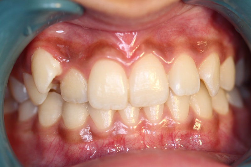
时间匆匆,现在已经过了14个月。小梦摘了牙套,小龅牙不见了,她开心的不得了,跟我说,“姐姐,姐姐,真的很神奇哎,我感觉自己变美了。我要给你们五星级好评。”看到她乐的不停的拿手机自拍,我们也由衷的高兴。心想,这可能就是“送人玫瑰,手留余香”的感觉吧。
矫正后照片:




