姓名 :王同学 性别: 女 年龄:15岁
职业: 学生 主治医生:白晓茸 诊疗项目:牙齿矫正
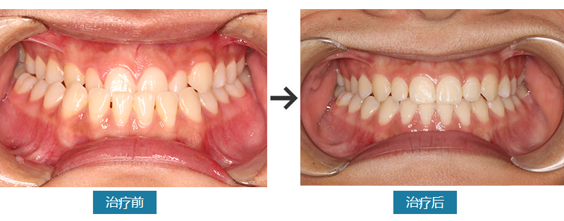
牙齿地包天,要求矫治
安氏III类错合,不拔牙矫治 Damon-Q自锁托槽矫治
地包天就是医学上讲的“反颌”。反颌不但影响咬合关系,还影响青少年的面型。青少年处于生长发育阶段,下颌发育过快,就会导致下巴伸长,有的甚至下巴能跟笔尖在一条线上,但是上颌后缩,就形成了我们说的“月牙脸”,非常不美观。因此,青年少的反颌问题要格外注意。





