真实案例

拜尔首页 > 真实案例 >21个月牙套毕业,完美

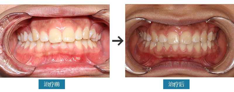
21个月牙套毕业,完美

作者:西安拜尔口腔    发布时间:2017-10-28    浏览次数:33

姓名 :刘同学                 性别:女                     年龄:21

职业:学生                      主治医生:白晓茸             诊疗项目:国产金属自锁托槽

     牙齿不齐,要求矫正

 

      国产金属自锁托槽


 

推荐专家

免费电话:
029-84356883
时间:
8:30—19:00
  • 官方微信

    官方微博