真实案例

拜尔首页 > 真实案例 >牙黄缺损缝隙大,瓷贴面解决困扰

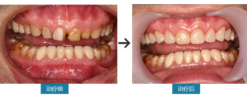
牙黄缺损缝隙大,瓷贴面解决困扰

作者:西安拜尔口腔    发布时间:2017-08-09    浏览次数:47

       姓名:史先生                   性别:                年龄:42岁

       职业:销售                       主治医生:杨硕       诊疗项目:根管治疗+纤维桩+瓷贴面

       牙齿不美观,要求美容修复 

       

      11,12,13,14,21,22,23,24牙体缺损,稀疏,无松动,牙龈无红肿。做根管治疗术,纤维桩。牙体预备,印模制取,临时贴面修复,一周后复

推荐专家

免费电话:
029-84356883
时间:
8:30—19:00
  • 官方微信

    官方微博