真实案例

拜尔首页 > 真实案例 >大虎牙半隐形矫正,15个月成功卸牙套

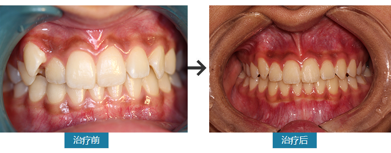
大虎牙半隐形矫正,15个月成功卸牙套

作者:西安拜尔口腔    发布时间:2017-08-14    浏览次数:48

姓名:屈同学                   性别:女                     年龄:14岁

职业:学生                      主治医生:白晓茸          诊疗项目:正畸

     牙齿不整齐,有虎牙,要求矫正 

 


      牙周状况良好。拍片子检查,取模,确定矫正方案,最后上牙套。选用矫治器为冰晶自锁托槽。


 

推荐专家

免费电话:
029-84356883
时间:
8:30—19:00
  • 官方微信

    官方微博