真实案例

拜尔首页 > 真实案例 >门牙烤瓷冠折断,全瓷冠修复棒棒哒

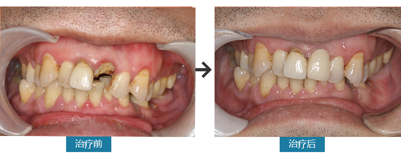
门牙烤瓷冠折断,全瓷冠修复棒棒哒

作者:西安拜尔口腔    发布时间:2018-02-07    浏览次数:37

姓名 :刘先生                            性别:男                  年龄:35

职业:白领                                  主治医生:眭永潮      诊疗项目:全瓷冠

上门牙意外折断,影响美观,要求修复。


门牙烤瓷冠折断,全瓷冠修复棒棒哒 

 

21根管治疗后,打纤维桩,制备临时冠。7—10天后,拆除临时冠,换永久冠修复。


 

推荐专家

免费电话:
029-84356883
时间:
8:30—19:00
  • 官方微信

    官方微博