姓名 :李女士 性别:女 年龄:32岁
职业:白领 主治医生:白晓茸 诊疗项目:前牙修复
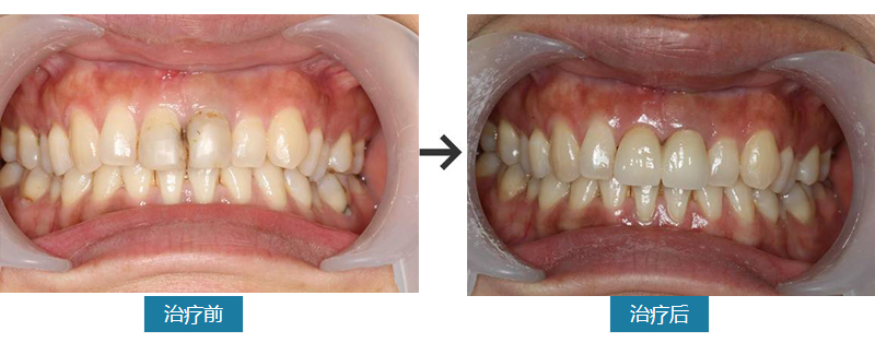
门牙影响美观,要求修复

牙缝老是塞东西,开始有点黑,时间久了,黑点越来越大,最后牙齿里面抽着疼。这是牙齿龋坏由浅入深的过程,也是李女士近一年的牙齿经历。原来只是补牙就可以,现在李女士不得不先做根管治疗,然后再做牙冠进行修复。原来拖着没来补牙是嫌麻烦,结果一拖再拖,现在不但比原来的程序多,而且治疗费用也增加了。
治疗过程中,白医生给李女士讲了牙齿结构和牙齿健康护理方法,白老师说牙齿龋坏是不可逆的,牙齿不具有自我修复的能力,所以一定要好好保护牙齿。李女士也表示,这也算是个教训,以后肯定会好好保护,有问题及时看牙,省的受罪、花大钱。
根管治疗+纤维桩固位+冠修复









