姓名:张女士 性别:女 年龄:45岁
职业:全职妈妈 主治医生:倪医生 诊疗项目:种植牙
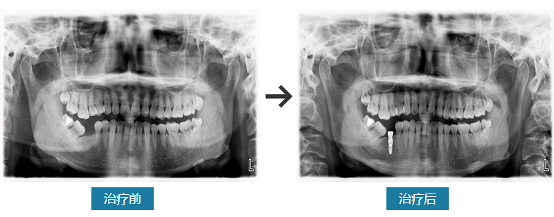
右下牙缺失一颗,影响咀嚼,想要种植
口腔卫生一般,牙龈粉红,质韧,牙颈部少量软垢,牙结石(-)。咬合关系未见异常。46缺失。X线显示缺牙区骨小梁清晰,骨质密度III类。
种植修复。必兰局部浸润麻醉46,进行种植。十天后拆线,3-6个月行种植冠修复。
张女士四十来岁,右后牙缺失。张女士说之前是虫牙,后来牙洞越来越大,最后就掉没了。少了一颗牙后,感觉右边咬东西没有那么方便了,只好用左侧牙齿咀嚼。但是看健康类文章说是单侧咀嚼不好,就来到西安拜尔口腔问诊,由种植专家倪医生接诊。根据片子和检查结果,张女士符合种植牙的条件和标准。倪医生结合检查结果和张女士的诉求,给出详细的治疗方案和计划。张女士说自己开始有点害怕,但是看过我们的病例展示、并和倪医生交谈后,医院、医生的专业素质和认真态度让她打消了疑虑,决定种植。
5个月后,张女士结束了所有的种植环节,戴牙成功。她说非常好,舒适自然,跟旁边的真牙一样好使。虽是假牙,但也不用每天卸下来清理,非常适合懒人。





