姓名:刘女士 性别:女 年龄:32岁
职业:公司职员 主治医生:倪医生 诊疗项目:种植修复
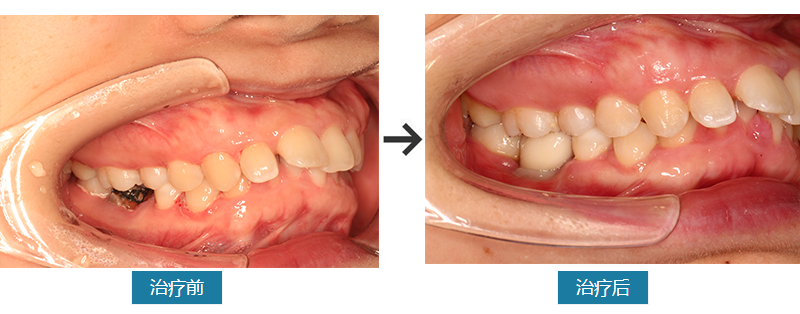
右下6缺失,想要做种植牙。
检查:牙面软垢(1),牙结石( 1 )。咬合关系未见明显异常。其余粘膜未见明显异常。46缺失。
治疗计划:46行种植修复。
处理:口周消毒,铺巾。46于必兰局部浸润麻醉下,切开牙槽嵴顶黏膜,定位备窝,植入种植体,拧上愈合基台,严密缝合,7天后拆线。3-6个月后复诊取模,比色。再次复诊,取下临时基台,换永久基台,戴全瓷冠。医嘱:注意口腔卫生。一月后,三月后,六个月后复诊。
32岁的刘女士牙齿一直都挺好的,半年前因为龋齿坏了一颗牙,当时也没放在心上。可是,久而久之刘女士感觉旁边的牙齿好像都有点松动了,这让刘女士很紧张,赶紧去医院检查。负责接待的咨询师杨静告诉她牙齿松动的原因是旁边的缺牙导致的,要马上把缺牙补好才行。了解后,刘女士觉得种植牙不错,可价格太贵,最后不了了之。刘女士的老公知道后就很心疼,最后动员了全家来劝说刘女士做种植牙。
经过多方了解,刘女士在老公的陪同下来到了西安拜尔口腔,并由种植专家眭永潮亲自接诊。眭教授仔细检查了刘女士的牙齿状况,为她制定了种植方案。手术仅半个多小时,刘女士的牙齿就种好了。
刘女士说没想到这么快就种好了,整个过程丝毫没感觉到痛,牙齿补好整个人心情都好了,刘女士的老公还开玩笑的说“现在还心疼钱吗?”,刘女士哈哈大笑起来说“这钱花的值!”




