姓名:刘 小姐 性别:女 年龄:27岁
职业:公司职员 主治医生:白晓茸 诊疗项目:陶瓷自锁托槽矫正。
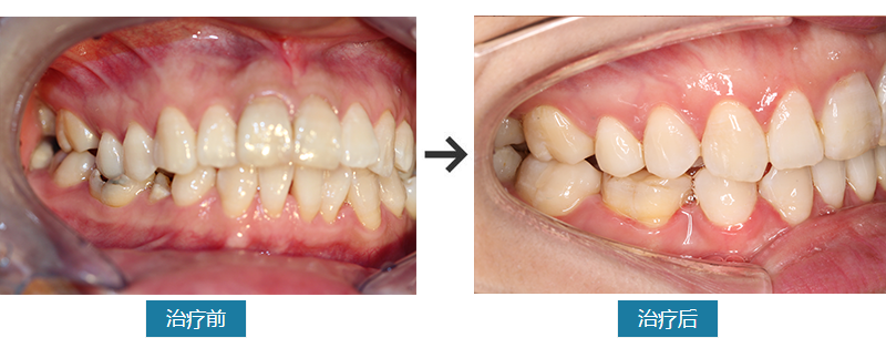
牙齿不齐,而且有坏的需要治疗
26、36、45去龋备洞,进口树脂填充。陶瓷自锁托槽矫正。
小刘的门牙有点凸,本来就想着做矫正,可是一拖拖了好几年,门牙外凸的状况有增无减。在她痛下决心的时候,发现牙齿状况不太好,有几颗牙齿已经形成虫牙。到我院经白医生检查诊断,牙周状况一般,可以矫正,但需要先补牙,然后设计方案、戴矫治器。因为小刘对传统钢牙套不接受,遂选用陶瓷自锁托槽,矫正爱美两不误。经过24个月,完成矫正,开始戴保持器。白医生说到,成年人的牙齿矫正耿需要好好配戴保持器,防止复发,至少佩戴2-3年,如果可以坚持,可以戴的更久。小刘说,自己的矫正成果来之不易,以后会好好佩戴、甚至终生戴着,并且要定期牙齿检查,不再给牙齿“变坏”的机会。





