真实案例

拜尔首页 > 真实案例 >事业有成遭缺牙,种植重现久违笑

事业有成遭缺牙,种植重现久违笑

作者:西安拜尔口腔    发布时间:2017-09-28    浏览次数:36

       姓名:尚女士                   性别:女                年龄:49

       职业:老师                      主治医生:倪医生     诊疗项目:种植牙

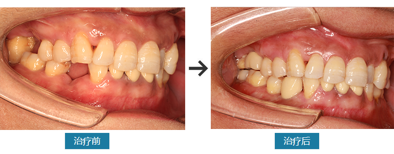
      大牙缺失,要求种植修复

 


       

      种植牙修复

推荐专家

免费电话:
029-84356883
时间:
8:30—19:00
  • 官方微信

    官方微博